Наружная резорбция, связанная с отбеливанием эндодонтически пролеченных зубов
Gerald W. Harrington, DDS, MSD, and Eugene Natkin, DDS, MSD

JOURNAL OF ENDODONTICS I VOL 5, NO 11, NOVEMBER 1979
Ряд клинических случаев, наблюдавшихся в последние годы, свидетельствуют о том, что наружная резорбция корня может быть вызвана отбеливанием коронковой части эндодонтически пролеченных зубов. Хотя прямая причинно-следственная связь между резорбцией и отбеливанием не может быть установлена с уверенностью, клинические обстоятельства случаев, описанных в этой статье, убедительно свидетельствуют о такой взаимосвязи.
История болезни
Клинический случай 1
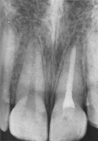
Пациент, девочка 14-лет впервые пришла на прием в 1966 году. Пульпа левого центрального резца верхней челюсти была травмирована в результате удара о дверь двумя неделями ранее (рис. 1). Эндодонтическое лечение было начато после осмотра в это же посещение и завершено через три недели (рис. 2).
Через неделю цвет коронковой части приобрел исходный цвет. Вскоре после этого временная реставрация была заменена на силикатную. В 1970 году, спустя 3,5 года после отбеливания зуба, пациент вернулся с жалобами на подвижность пролеченного зуба. На слизистой оболочке с щечной стороны левого центрального резца в нескольких миллиметрах от края десны был выявлен свищевой ход. Рентгенограмма (рис. 3) показала, что, хотя эндодонтическое лечение было успешным, если судить по сохранности периодонтальной связки, симптомы пациента можно объяснить обширной наружной резорбцией в цервикальной области.
Пациент вернулся через 6 месяцев (в 1967 году) на контрольный осмотр. В то время рентгенограмма показала, что пролеченный зуб был в норме, а у пациента не было никаких симптомов. Из-за потемнения коронковой части было принято решение провести отбеливание коронковой части зуба. Реставрация была удалена, а коронковая часть зуба была отбелена с помощью супероксола и термолампы. Нагревание проводилось в течение примерно 10-15 минут. По завершению воздействия термолампы в созданную полость зуба была помещена густая пастообразная смесь супероксола и пербората натрия и перекрыта слоем оксифосфатно-цинкового цемента.
Рисунок 1. — Клинический случай 1. Рентгенограмма левого центрального резца верхней челюсти, сделанная в 1966 году после травмы.
Клинический случай 2
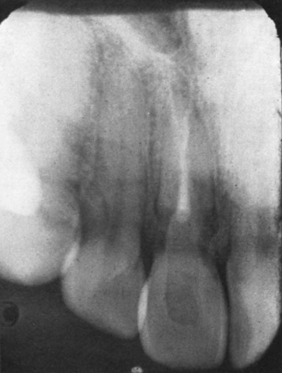
Пациент, 21-летний мужчина, наблюдался в стоматологической клинике Вашингтонского университета в 1967 году. Левый центральный резец ранее был эндодонтически лечен в результате травмы при ударе, и в 1960 году было завершено пломбирование корневого канала. Когда пациент был она осмотре в 1967 году, коронковая часть зуба была изменена в цвете, и была начата процедура отбеливания. При первом приеме была нанесена пастообразная смесь из супероксола и пербората натрия в сформированную полость коронковой части зуба. Через неделю, на втором приеме, было проведено отбеливание с использованием тепловой лампы и супероксола. После процедуры отбеливания доступ был восстановлен силикатным цементом.
Пациент был приглашен на осмотр в 1974 году. При осмотре была обнаружена фистула на нижней десне между левыми центральным и боковыми резцами. Левый боковой резец давал адекватную реакцию на пробы, и на рентгенограмме, сделанной в то время, была обнаружена область резорбции коронковой части и корня на дистальной поверхности левого центрального резца (рис. 5). В анамнезе пациента не было обнаружено каких-либо повреждений этого зуба от удара, кроме первоначальной травмы, которая ранее привела к потере жизнеспособности пульпы в 1960 году.
Рентгенограмма, сделанная в то время (через семь лет после завершения эндодонтического лечения), не выявила признаков резорбции коронковой части или корня (рис. 4).
Рисунок 2. — Клинический случай 1 — Рентгенограмма после лечения.
Рисунок 3. — Клинический случай 1 — Рентгенограмма через 34 года после лечения показала обширную наружную резорбцию как в мезиальном, так и в дистальном цервикальных отделах.
Клинический случай 3
Пациент, мужчина 29-лет, впервые пришел на прием в 1967 году. Он был направлен в клинику для отбеливания правого центрального резца верхней челюсти. Пациент рассказал, что 15 лет назад в результате несчастного случая на водных лыжах зуб был смещен в небную сторону. В то время пациент самостоятельно восстановил положение зуба. Эндодонтическое лечение было завершено вскоре после травмы. Рентгенограммы, сделанные перед отбеливанием (рис. 6), проведенные в 1966 году, показали отсутствие признаков расширения периодонтальной связки и признаков резорбции вокруг правого центрального резца. Процедура отбеливания включала использование супероксола и тепловой лампы, а также использование "гуляющего отбеливателя" из супероксола и пербората натрия в перерывах между приемами. Отбеливание зуба было затруднено и для получения удовлетворительного результата потребовалось 3 приема.
Рис. 4. - Клинический случай 2. Рентгенограмма верхней челюсти до отбеливания, левый центральный резец, в 1967. Эндодонтическое лечение было завершено в 1960 году.
Рис. 5. Случай 2. Рентгенограмма, проведенная в 1974 году на снимке видно наружную цервикальную резорбцию на дистальной поверхности левого центрального резца.
В 1971 году, через 3,5 года после процедуры отбеливания, пациент вернулся с жалобами на периодически возникающий отек десны между правыми центральным и боковыми резцами верхней челюсти. На слизистой оболочке с щечной стороны на несколько миллиметров ниже свободного края десны между двумя зубами имелся свищевой ход. Рентгенограмма (рис. 7) показала обширную наружную резорбцию в цервикальной области как с мезиальной, так и с дистальной поверхности корня.
Клинический случай 4
Пациент, девочка 15-лет, пришла на прием в стоматологическую клинику Университета Вашингтона в октябре 1966 года с жалобами на боль в области левого центрального резца верхней челюсти (рис. 8). Симптомы, о которых сообщил пациент, и результаты обследования указывали на необратимый пульпит центрального резца. Было начато эндодонтическое лечение. Пациентка сообщила, что примерно за три месяца до приема она получила удар в область центральных резцов доской для серфинга.
При внутриротовом осмотре был выявлен зуб, который был слегка удлинен и немного смещен в язычном направлении: зуб был неподвижен. Было проведено эндодонтическое лечение, которое было завершено в конце октября 1966. Рентгенограммы, сделанные 2 и 6 лет спустя, показали сохранность периодонтальных связок и отсутствие признаков резорбции после травмы.
Рис. 6. Клинический случай 3. Рентгенограмма правого центрального резца верхней челюсти в 1967 году. Эндодонтическое лечение было завершено в 1952.
Рис. 7 - Клинический случай 3. Рентгенограмма в 1971 году, показывает обширную наружную резорбцию в цервикальной области как на мезиальной, так и на язычной поверхности корня.
Пациент вернулся в клинику в мае 1974 года с жалобами на дисколорит зубов. В течение 8,5 лет после завершения эндодонтического лечения у пациента не было никаких симптомов. Рентгенограмма, сделанная в то время (рис. 9), не выявила признаков наружной резорбции. Была проведена процедура отбеливания с использованием супероксола и отбеливающего препарата. В промежутках между приемами в коронковую часть зуба помещали пасту из супероксола и пербората натрия. Эта процедура была проведена в 3 посещения с окончательной реставрацией из силикатного цемента, июнь 1974 года.
Рис. 8. - Клинический случай 4. Рентгенограмма левого центрального резца верхней челюсти в 1966 году после травмы.
Рис. 9 - Клинический случай 4. Рентгенограмма, проведенная перед отбеливанием в 1974 году, через 8,5 лет после завершения эндодонтического лечения.
Пациентка вновь обратилась в клинику в январе 1976 года. Примерно за месяц до этого обращения она обратила внимание на небольшую припухлость в области десневого сосочка между левыми центральным и боковыми резцами. В области десневого сосочка был выявлен свищевой ход. Рентгенограмма (рис. 10) показала обширную наружную резорбцию в дистальном отделе корня и незначительную резорбцию в мезиальной области. Пациентка отметила, что в анамнезе у нее не было повторных травм этой области, кроме первоначальной травмы в 1966 году.
В дополнение к предыдущим историям болезней, авторы обследовали трех других пациентов с идентичными историями травм, последующего эндодонтического лечения и процедур отбеливания, проведенных через 6, 7 и 8 лет после завершения эндодонтического лечения. В каждом клиническом случае цервикальная резорбция возникала в течение двух лет после процедуры отбеливания. Ни один из этих пациентов не сообщал о травмах в анамнезе за это время. В двух случаях резорбция произошла только на язычной поверхности цервикальной области корня, а в третьем случае она была локализована в дистальном отделе цервикальной области корня.
Рис. 4. Клинический случай 4. В 1976 году рентгенограмма показала обширную наружную резорбцию в дистальном отделе цервикальной области корня и незначительную резорбцию в мезиальной области.
Обсуждение
При оценке периапикальных рентгенограмм, сделанных после травмы, но до отбеливания, необходимо проводить дифференциальную диагностику в интерпретации между возможным наличием ранней цервикальной резорбции и ее рентгенопрозрачностью. На периапикальных рентгенограммах цервикальная резорбция может проявляться либо в виде радиопрозрачной полосы по всей шейке зуба, либо в виде треугольной радиопрозрачной области на мезиальной, дистальной или обеих поверхностях корня у шейки зуба. Wuehrmann и Manson-Hing сообщают, что такие радиопрозрачные области можно наблюдать на поверхности корня зуба, особенно в области шеек центральных резцов верхней челюсти. Тщательный анализ всех доступных рентгенограмм, сделанных после травмы, но до отбеливания, выявил неповрежденную боковую поверхность корня в цервикальной области во всех зарегистрированных клинических случаях. Очевидна существенная разница цервикальной резорбции на рентгенограммах, показывающих состояние до и после отбеливания. Все приведенные выше истории болезни имеют следующие общие характеристики:
  • Все зубы после травмы были подвержены эндодонтическому лечению.
  • На момент получения травмы все пациенты были довольно юными, в возрасте от 11 до 15 лет.
  • За исключением клинического случая 1, процедуры отбеливания были проведены через несколько лет (от 6 до 15) после травмы и завершения эндодонтического лечения.
  • Во всех случаях во время процедур отбеливания использовались отбеливающий препарат и источник тепла.
  • Во всех клинических случаях резорбция возникали в пришеечной трети корня без признаков резорбции в других частях корня.
  • Все пациенты отрицали наличие в анамнезе травм после первоначальных травмирующих инцидентов, которые привели к потере жизнеспособности этих зубов.
Хотя прямая причинно-следственная связь между процедурами отбеливания и цервикальной резорбцией не может быть установлена с уверенностью, приведенные выше истории болезни убедительно свидетельствуют о такой взаимосвязи. В своем последующем исследовании постоянных зубов с травмами Andreasen утверждает, что, если в результате травмы возникает резорбция, это обычно наблюдается в течение 2-5 месяцев после травмы и всегда в течение одного года после травмы.
Хотя травму этих зубов после отбеливания нельзя с уверенностью исключить, ни в одном случае пациент не смог вспомнить никаких других травмирующих инцидентов.
Поскольку в 6 из 7 случаев, которые наблюдали авторы, с момента травмы до проведения процедур отбеливания прошло от 6 до 15 лет, представляется необоснованным делать вывод о том, что резорбция могла быть следствием первоначальных травм.
Затем воспаление может перейти в воспалительно-резорбтивный процесс. Хотя такой механизм возможен, анализ историй болезни не выявил ни одного случая образования воспалений вокруг зубов после их отбеливания, и ни один пациент не смог вспомнить о воспаленных участках, которые могли бы возникнуть, если бы супероксол попал на десну.
Если исходную травму можно исключить как непосредственную причину цервикальной резорбции, то следует рассмотреть другие гипотезы. Возможно, что аналогичные события, описанные в историях болезни, и возникновение резорбции является чистым совпадением. Изолированные резорбтивные дефекты встречаются как в витальных зубах, так и в эндодонтически пролеченных зубах. Однако крайне необычно выявлять такие дефекты одновременно как в мезиальном, так и в дистальном цервикальных областях, как это наблюдалось в случаях 1, 3 и 4.
Вторая гипотеза заключается в том, что существует причинно-следственная связь между процедурой отбеливания и цервикальной резорбцией. На такую связь указывает относительная близость по времени между отбеливанием и возникновением обширной резорбции. Повреждение тканей пародонта и возникающий в результате этого воспалительно-резорбтивный процесс могли возникнуть в результате непреднамеренного попадания супероксола на десну. Отбеливающий препарат может просочиться в десневую борозду и вызвать воспалительную реакцию в области прикрепленной десны.
Avni и другие также показали в исследовании in vitro, что радиоактивный водный раствор парахлорфенола может проникать через дентин из пульпарной камеры и корневого канала, по крайней мере, до цементо-дентинного соединения.
Другой механизм, с помощью которого супероксол может инициировать воспалительно-резорбтивный процесс, заключается в проникновении через открытые дентинные канальцы в цервикальную область во время процедуры отбеливания. В пользу этой гипотезы говорит тот факт, что во всех случаях пациенты были достаточно молоды на момент эндодонтического лечения зубов, чтобы ожидать наличия открытых дентинных канальцев. Anderson и Ronning: "Исследования показали, что отбеливающие препараты, помещенные в коронковую часть зубов, могут проникать через дентинные канальцы к периферии зуба".
Последняя гипотеза заключается в том, что процесс резорбции может быть связан с повреждением пародонта воздействием тепла от лампы или отбеливающего препарата, используемого в этих клинических случаях. Хотя такая возможность кажется менее вероятной, ее необходимо учитывать. Однако в ходе бесед с пациентами не удалось выявить ни одного случая ожогов мягких тканей после отбеливания, и ни один такой случай не был зафиксирован в историях болезни пациентов.
В исследовании in vivo Taylor и другие исследователи показали, что 2%-ный раствор парахлорфенола в радиоактивном растворе, помещенный в устьевую часть корневого канала на ватной турунде, может проникать через дентинные канальцы в периодонтальную связку. Такие данные указывают на то, что цемент, возможно, не является препятствием для диффузии жидкостей. В каждом клиническом случае, было показано, что в 10% всех зубов эмаль и цемент не соприкасаются, так что дентин в пришеечной области лишен цемента.
Таким образом, в молодом зубе с открытыми дентинными канальцами может существовать прямая взаимосвязь между коронковой частью корневого канала и периодонтальной связкой в цервикальной области. Возможность того, что супероксол может проникать через дентинные канальцы и инициировать воспалительно-резорбтивную реакцию в цервикальной области, представляется разумной гипотезой.