Справочник по эндодонтии: прохождение и лечение второго мезиально-щечного корневого канала (MB2) во втором верхнечелюстном моляре
Vasudev SK and Goel BR, Endodontology, 2003
Резюме
Неудачные и безуспешные попытки найти и запломбировать корневой канал влияют на прогноз эндодонтического лечения. Частота наличия второго канала в мезиально-щечном корне второго моляра верхней челюсти довольно высока, поэтому следует уделить время его обнаружению и лечению. В настоящей статье описывается возможное расположение этих каналов и различные методы, предлагаемые для определения расположения четвертого канала в верхнечелюстном моляре.
Ключевые слова: второй верхнечелюстной моляр, четвертый канал, второй мезиально-щечный корневой канал (MB2).
Вступление
Основной целью эндодонтического лечения является тщательное механическое и химическое очищение всей полости пульпы и ее полная обтурация инертным пломбировочным материалом. Основной причиной эндодонтических неудач при лечении моляров верхней челюсти является невозможность локализовать, очистить и запломбировать часто присутствующий второй мезиально-щечный корневой канал. В таблице 2 перечислены наиболее частые причины эндодонтических неудач, такие как апикальная перфорация и последующий диффузионный застой в канале. До публикации статьи, написанной Weine и соавт. в 1969 году, практически все стоматологи считали, что мезиально-щечный корень (MB) верхнечелюстных моляров имеет только один канал.
Почти аксиомой является тот факт, что корневая система мезиально-щечного корня моляров верхней челюсти часто имеет систему корневых каналов, содержащую более одного канала. Этот факт должен привести к осознанию, которое должно быть отражено в нашей повседневной практике клинической эндодонтии.
тип I - один корневой канал;
тип II - два корневых канала, имеющие разные устья, но сливающиеся недалеко от верхушки, образуя единый корневой канал;
тип III - два отдельных корневых канала, имеющих разные верхушки;
тип IV - один корневой канал, но разделяющийся недалеко от верхушки на два отдельных корневых канала с отдельными апикальными отверстиями.
В ходе исследований, проведенных с 1972 по 1984 год с использованием различных методов для изучения конфигурации корневых каналов, сообщалось о наличии двух каналов в мезиально-щечном корне второго моляра верхней челюсти в диапазоне от 12% до 38%5,6-7,8. В исследовании, в котором использовалась комбинация методов, Kulild и Peters обнаружили, что от 14 до 32 зубов (43,8%) имели два канала в мезиально-щечном корне второго верхнечелюстного моляра при проведении рентгенографии с двумя инструментами, установленными в корневые каналы. Количество двух каналов увеличилось с 25 до 32 (78,2%), когда был создан полноценный доступ с помощью бора, а затем в каналы были установлены файлы. И, наконец, 30 из 32 зубов (93,7%) были удалены, при горизонтальном распиле корней и гистологическом исследовании у мезиально-щечного корня было по два канала. Система каналов MB2 во втором моляре верхней челюсти, о которой сообщалось ранее, представлена в таблице 1.
После этой статьи было опубликовано много работ, посвященных типам систем каналов, присутствующих в этом корне, и их процентному содержанию. Однако в нескольких статьях речь шла исключительно о конфигурации канала второго верхнечелюстного моляра, возможно, из-за предположения, что корень очень похож на первый моляр. В некоторых исследованиях первые и вторые моляры группировались вместе и сообщались о комбинированных результатах.
Чтобы классифицировать систему каналов в каждом корне, Weine описал четыре различных типа конфигураций следующим образом:
Рис. 2. Схема дна пульповой камеры моляра верхней челюсти. Крестики обозначают центры подготовленных устьев канала MB2 при исследовании in vivo.
Рис. 1. а) модифицированный доступ;
б) классический доступ
Клинический случай
Мужчина (40 лет) обратился в отделение терапевтической стоматологии с основной жалобой на боль в области зубов верхней челюсти слева. Год назад ему было проведено эндодонтическое лечение первого верхнечелюстного моляра слева. При клиническом осмотре первый моляр верхней челюсти был признан в пределах нормы, на втором моляре был выявлен кариес, а при перкуссии он оказался болезненным. Рентгенологическое исследование выявило кариес медиально-апроксимальной поверхности на втором моляре. Был создан ромбовидный доступ и локализованы небный, а также мезиально-щечный и дистально-щечный корневые каналы. При зондировании углубления между мезиально-щечным и небным устьями корневых каналов было обнаружено другое устье, расположенное мезиопалатальнее мезиально-щечного устья. Оно был чрезвычайно узким, и даже инструмент No 8 не смог бы преодолеть его. Поэтому было проведено препарирование с помощью круглого бора, и в конце концов канал был обнаружен.
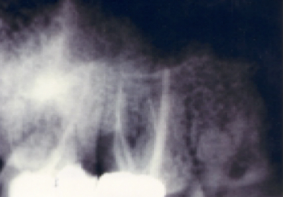
Внутриротовая периапикальная рентгенограмма была сделана с небольшим мезиальным наклоном, чтобы выявить канал MB2 II типа. Затем все четыре канала были подготовлены и обтурированы методом латеральной конденсации (рис. 3-5).
Обсуждение
Было предоставлено несколько методов, помогающих определить расположение четвертого корневого канала в верхнечелюстном моляре. В первую очередь, была предложена модификация доступа для придания ему ромбовидной формы (рис. 1А) для моляров верхней челюсти по сравнению с классическим треугольным доступом (рис. 1Б). Это обеспечивает лучшую видимость и создает удобство в работе.
Для определения расположения устья МВ2 было предложено провести тщательное зондирование углубления между основными каналами. Этот навес часто приходится углублять, чтобы удалить любые выступы, которые могут скрывать вход во второй мезиально-щечный корневой канал. Если устье MB2 было обнаружено с трудом, необходимо прибегнуть к использованию боров или ультразвуковых насадок. Устья MB2 обычно располагаются мезиально к воображаемой линии между MB1 и небнымкорневым каналом и, как правило, находятся на расстоянии около 2-3 мм от небного устья MB1. Прохождение канала MB2 может быть затруднено. Канал MB1 обычно расположен от дна пульпы лишь с небольшим мезиальным наклоном. Однако канал MB2 обычно имеет выраженный мезиальный наклон непосредственно перед его устьем в коронковой области от 1 до 3 мм, поэтому при попытке ввести инструмент в МВ2 канал кончик инструмента, как правило, цепляется за медиальную стенку канала, препятствуя его продвижению. Поскольку канал MB2 более узкий и обычно более кальцифицирован, чем канал MB1, проблема усугубляется. После определения расположения устья MB2 необходимо наклонить стоматологический или ультразвуковой наконечник в дистальном направлении, насколько позволяет доступ, это помогает безопасно удалить первые несколько миллиметров навеса из кальцифицированной ткани. После такой "доработки" доступа может быть достигнут более желаемый прямолинейный доступ.
Чтобы облегчить поиск и обработку канала MB2, доступ должен быть ромбовидной формы, чтобы обеспечить необходимую мезиально направленную форму. В некоторых случаях MB2 имеет соустье с MB1. При наличии одного устья, оно обычно имеет овальную форма. В редких случаях устье MB2 находится внутри небного канала или на его верхушке. В любом из вышеперечисленных случаев будет очень трудно, если вообще возможно, увидеть устье MB2. Смазанный слой можно удалить 17%-ным раствором ЭДТА. Кроме того, каналы можно промыть раствором 95% этанола и высушить. Эксперт должен всегда следить за наличием дополнительных корневых каналов на протяжении всего процесса.Расстояние между центрами устьев обработанных корневых каналов с отдельными верхушками составляет от 3 мм, а для каналов с общими верхушками - 1-2 мм. Среднее расстояние между центрами обработанных корневых каналов с отдельными верхушками составило 1,8 мм и 1,3 мм с общими устьями (рис. 2). Важно, чтобы клиницист был твердо убежден в том, что система MB2 присутствует во всех верхнечелюстных молярах. В сочетании с стоматологическим операционным микроскопом, корректным доступом и использованием специальных эндодонтических инструментов иногда можно использовать другие вспомогательные средства для улучшения визуализации MB2. К ним относятся "тест на шампанское или пузырьки" с подогревом 2.6% NaOCl, окрашивание дна полости 1%-ным метиленовым синим, использование острых зондов для поиска признаков кровотечения и рентгенограмма под наклоном перед эндодонтическим лечением. Интересно отметить, что исследования с использованием микроскопа показали значительно более высокий процент выявления каналов MB2, чем исследования с использованием других методов определения.
Для правильного лечения второго верхнечелюстного моляра необходимо понимание морфогенеза системы мезиально-щечного корневого канала. Изначально канал в MB имеет форму фасолины. При продолжающемся отложении вторичного дентина перешеек между двумя частями становится более узким и в конечном итоге может даже закрыться, в результате чего образуются два канала. Поскольку мезиально-язычный сегмент канала окружает меньший из частей фасоли, он закрывается, оставляя небольшое пространство, что затрудняет его обнаружение. Сначала появляется одна большая лентовидная вершина, которая по мере взросления зуба начинает сужаться, в конечном итоге оставляя одно или несколько отверстий. Поэтому, в зависимости от возраста зуба, MB может иметь различные конфигурации.
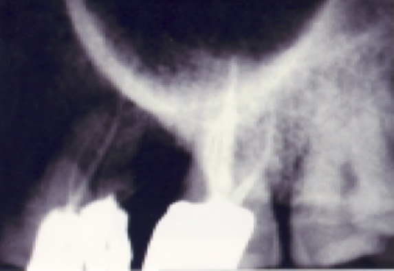
Рис. 4. Рентгенограмма после обтурации, на которой четко виден обтурированный канал MB2 (вид дистально)
Рис. 3. Рентгенограмма, сделанная с помощью радиовизиографии, на которой показаны все четыре канала
Рис. 5. Рентгенограмма после обтурации (мезиальный вид)
Заключение
При лечении верхнечелюстного моляра клиницист должен исходить из того, что в мезиально-щечном корне имеется два канала. Только после тщательного поиска второго корневого канала и после того, как будет установлено, что дальнейшие поиски канала будут бесполезными или приведут к перфорации, клиницист должен согласиться на обработку только одного канала. Если лечение MB не удается, это может быть связано с тем, что второй канал не был локализован и обработан, и это следует тщательно учитывать при повторном лечении, как хирургическими, так и терапевтическими методами.